categoria azienda Ambulatorio Odontoiatrico Oleggini
logo Ambulatorio Odontoiatrico Oleggini
Ambulatorio Odontoiatrico Oleggini
Studio Dentistico
Studio Dentistico

PROTESI E IMPLANTOLOGIA



Ogni prestazione medica svolta presso l'Ambulatorio Odontoiatrico Oleggini dei Dottori Lorenza ed Emilio Oleggini ha come priorità il benessere e la salute del paziente, al quale l’equipe dedica tutta la propria esperienza e professionalità.





3 Unità dello Studio



Lo Studio dentistico Oleggini di Busto Arsizio è composto di tre unità operative indipendenti, un’ampia sala d’attesa, una sala di sterilizzazione e due bagni, uno dei quali attrezzato per i pazienti in situazione di handicap.






Le prime tre specializzazioni dello Studio Oleggini, nel quale operano tre medici dentisti e tre assistenti, sono le seguenti:





Icona Servizio

PROTESI

FISSA E MOBILE

Icona Servizio

PROTESI

CONOMETRICHE

Icona Servizio

IMPLANTOLOGIA


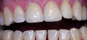
PROTESI FISSA E MOBILE



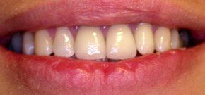
Le soluzioni protesiche proposte vanno dalle più tradizionali (protesi totali, scheletrati o ponti) alle più innovative, quali:






  • corone in zirconio
  • ceramica ad alto risultato estetico





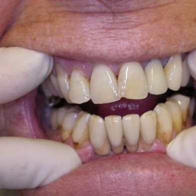
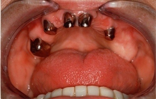
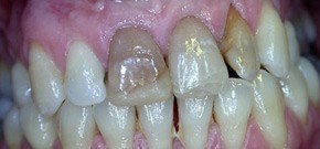
PROTESI CONOMETRICHE

Sono protesi in titanio, in grado di riabilitare con protesi fissa le bocche destinate alla protesi mobile per la precarietà degli elementi dentali coinvolti.


La motivazione che spinge alla scelta di questa progettazione con doppia corona è legata ad una situazione patologica dei rimanenti denti pilastro.



Ne deriva la possibilità di un’igiene migliore da parte del paziente e, non meno importante, la possibilità di usufruire della stessa protesi, nonostante in futuro qualche dente pilastro debba essere rimosso, evitando così un ulteriore costo dovuto alla modifica o al rifacimento del lavoro.





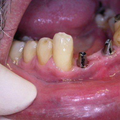
IMPLANTOLOGIA

L’impianto dentale è una soluzione alternativa al ponte tradizionale e alla protesi.


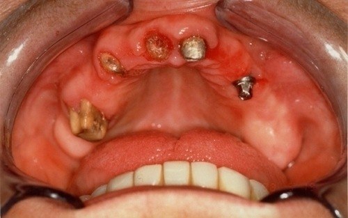
Esso consiste nella sostituzione del dente naturale mancante con una protesi applicata su di una piccola radice in titanio, inserita nell’osso mascellare (vedi foto 2).


L’impianto si posiziona con un modesto intervento chirurgico e la nuova struttura dentale viene realizzata dopo la fase di guarigione, quando intorno all’impianto si è formato nuovo tessuto osseo (osteointegrazione) (vedi foto 3).


Gli impianti dentali sono una soluzione a lungo termine più valida rispetto ad un ponte tradizionale, perché non pregiudicano i denti sani adiacenti, in quanto evitano la limatura necessaria per l’inserimento di un ponte.


Gli impianti dentali sono saldamente ancorati all’osso: per questo motivo, un particolare tipo di impianto, detto “mini impianto”, viene utilizzato per ridurre i problemi tipici delle protesi mobili, rendendole più stabili.




L’implantologia osteointegrata è praticata con successo nel nostro studio da parecchi anni.


La novità più recente consiste nella possibilità di rigenerazione ossea, anche in zone di ridotto spessore, che consente l’applicazione di impianti in pazienti per i quali, sino a qualche tempo fa, essi non rappresentavano una possibile opzione terapeutica.





Inoltre, nella maggior parte dei casi, è oggi possibile l’applicazione immediata di provvisori fissi (si parla così di impianti a carico immediato). Ciò aumenta notevolmente il comfort del paziente e migliora senza dubbio l’estetica durante il periodo di osteointegrazione dell’impianto.

Implantologia senza bisturi


Nel nostro studio applichiamo da tempo la tecnica di posizionamento di impianti dentali senza l’utilizzo di bisturi, attraverso lo studio preventivo e la preparazione digitale (grazie ad uno studio radiologico su TAC).


Ciò permette la realizzazione di una mascherina chirurgica che guida in modo preciso il posizionamento degli impianti, senza incidere lembi gengivali e mettere a nudo l’osso. Il paziente in questo modo presenterà una sintomatologia post-operatoria molto lieve e potrà riprendere immediatamente le sue attività.



Anche in questo caso, è possibile applicare un provvisorio immediato, in modo tale che anche il disagio estetico sia ridotto al minimo.