ORTODONZIA - GNATOLOGIA E BITE
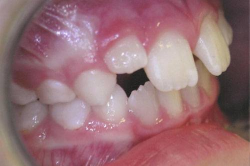
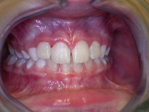
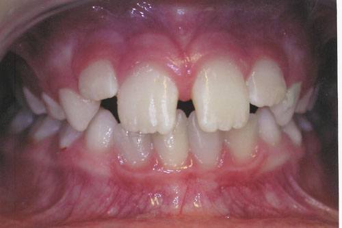
Oltre che di protesi fisse, mobili e conometriche e di implantologia, lo studio dentistico Oleggini si occupa altresì di ortodonzia, gnatologia e Bite.
Presso l’Ambulatorio Odontoiatrico Oleggini dei Dottori Lorenza ed Emilio Oleggini ogni caso viene analizzato con attenzione e scrupolosità, in modo da individuare il trattamento più idoneo e con le minori conseguenze sul paziente. La disponibilità e l’empatia dell’equipe, inoltre, fanno sì che grandi e piccini possano vivere la loro esperienza dal dentista nel modo più rilassato e tranquillo possibile.
